
마이코플라즈마 폐렴은 흔히 '세균성 폐렴' 중 하나로, 특히 어린이와 청소년에게서 자주 발생하는 폐렴의 한 종류입니다. 마이코플라즈마 폐렴은 일반적으로 증상이 천천히 나타나며, 초기에 감기 증상과 유사하여 쉽게 간과되기도 합니다. 이번 포스팅에서는 마이코플라즈마 폐렴의 증상, 원인, 치료 방법을 자세히 살펴보겠습니다.
1. 마이코플라즈마 폐렴이란?



**마이코플라즈마 폐렴(Mycoplasma pneumoniae)**은 마이코플라즈마라는 비정형 세균에 의해 발생하는 폐렴입니다. 이 세균은 일반적인 세균과 달리 세포벽이 없기 때문에 특정 항생제에 내성을 보이는 특징이 있습니다. 감기와 유사한 증상으로 시작하여 점차 폐렴으로 진행되기 때문에 조기 진단과 치료가 중요합니다.
2. 마이코플라즈마 폐렴의 증상



마이코플라즈마 폐렴의 증상은 감기 증상과 매우 비슷하게 나타나며, 점진적으로 악화됩니다. 주요 증상은 다음과 같습니다:
2.1 초기 증상
- 목의 통증: 인후염 증상으로 목이 따갑고, 불편함을 느낄 수 있습니다.
- 기침: 초기에는 마른 기침으로 시작되지만, 점차 심해지면서 가래가 발생할 수 있습니다.
- 발열: 미열에서 시작되며, 경우에 따라 고열로 진행되기도 합니다.
- 피로감 및 두통: 일반적인 감기와 비슷한 증상으로, 환자는 피로감과 두통을 호소할 수 있습니다.
- 콧물과 코막힘: 감기 증상처럼 코막힘과 콧물이 동반될 수 있습니다.
2.2 진행된 증상
- 기침이 심해짐: 시간이 지나면서 마른 기침이 심해지고, 환자는 계속 기침을 하게 됩니다. 특히 밤에 심해져 수면에 방해를 줄 수 있습니다.
- 흉통: 폐렴이 진행됨에 따라 가슴에 통증을 느낄 수 있으며, 깊은 숨을 들이쉴 때 통증이 악화됩니다.
- 호흡곤란: 심한 경우 호흡이 곤란해지며, 가슴 답답함을 느낄 수 있습니다.
- 피부 발진: 일부 환자에게서는 피부 발진이 동반될 수 있으며, 특히 어린이에게 자주 나타납니다.
이러한 증상들은 점진적으로 악화될 수 있으며, 빠르게 치료하지 않으면 폐렴으로 발전해 더 심각한 합병증을 초래할 수 있습니다.
3. 마이코플라즈마 폐렴의 원인



마이코플라즈마 폐렴은 마이코플라즈마 폐렴균에 의해 발생합니다. 이 세균은 매우 작은 크기와 세포벽이 없는 특성으로 인해 특정 항생제에 내성을 가지며, 일반적으로 호흡기 감염을 통해 전파됩니다.
3.1 전파 경로
마이코플라즈마 폐렴은 사람 간의 접촉을 통해 전파됩니다. 감염된 사람이 기침이나 재채기를 할 때 발생하는 비말을 통해 다른 사람에게 감염될 수 있으며, 특히 밀폐된 공간에서의 집단 생활(예: 학교, 기숙사)에서 쉽게 전파됩니다. 전염성은 감염 초기 단계부터 나타나며, 증상이 나타나기 전에도 전파될 수 있습니다.
3.2 위험군
마이코플라즈마 폐렴은 주로 어린이와 청소년에게서 자주 발생하지만, 성인이나 노인에게도 감염될 수 있습니다. 특히 면역력이 약해진 사람, 만성 질환을 앓고 있는 사람들은 더 큰 위험에 노출될 수 있습니다. 또한, 계절적으로는 여름에서 가을로 넘어가는 시기에 발생률이 증가하는 경향이 있습니다.
4. 마이코플라즈마 폐렴의 진단 방법



마이코플라즈마 폐렴은 초기 증상이 감기와 매우 유사하기 때문에 진단이 어려울 수 있습니다. 의사는 환자의 증상을 바탕으로 진단을 내리며, 몇 가지 추가 검사를 통해 정확한 진단을 합니다.
4.1 진단 검사
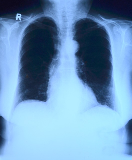
- 흉부 X선: 폐렴이 진행된 경우 폐의 염증 상태를 확인할 수 있습니다.
- 혈액 검사: 마이코플라즈마 균에 대한 항체를 확인하는 검사를 통해 감염 여부를 판단합니다.
- 가래 검사: 환자의 가래를 채취하여 세균 검사를 진행함으로써 감염 여부를 확인합니다.
5. 마이코플라즈마 폐렴의 치료 방법



마이코플라즈마 폐렴은 항생제 치료를 통해 완치할 수 있습니다. 하지만 이 세균은 일반적인 항생제에 내성을 보이기 때문에, 특정 항생제가 필요합니다. 주요 치료 방법은 다음과 같습니다.
5.1 항생제 치료
마이코플라즈마 폐렴균은 세포벽이 없기 때문에, 페니실린과 같은 세포벽을 공격하는 항생제는 효과가 없습니다. 대신, 마크로라이드(Macrolides) 계열의 항생제가 주로 사용됩니다. 대표적인 약물로는 아지트로마이신과 클라리트로마이신이 있으며, 이 항생제는 세균의 단백질 합성을 억제해 감염을 치료합니다.
5.2 대증요법
증상을 완화하기 위해 추가적인 치료 방법이 필요할 수 있습니다. 특히 고열, 기침, 흉통 등으로 고통받는 환자들은 다음과 같은 치료법을 받을 수 있습니다.
- 해열제: 발열을 완화시키기 위해 해열제를 복용할 수 있습니다.
- 진해제: 기침을 완화하는 데 도움이 되는 약물이 처방될 수 있습니다.
- 수분 섭취: 충분한 수분 섭취는 기침과 가래를 완화하는 데 도움을 줍니다.
6. 마이코플라즈마 폐렴의 치료 방법



마이코플라즈마 폐렴은 약물 치료와 대증요법 외에도 다양한 보조 치료 방법이 필요할 수 있습니다. 추가적인 치료 방법을 알아보겠습니다.
6.3 휴식과 영양 관리
폐렴은 신체에 큰 부담을 주기 때문에 충분한 휴식이 필요합니다. 피로를 줄이기 위해 침대에서 휴식을 취하고, 체력 회복을 돕기 위해 균형 잡힌 영양 섭취가 중요합니다. 특히 면역력을 강화할 수 있는 음식을 섭취하는 것이 도움이 됩니다. 비타민 C가 풍부한 과일과 야채, 단백질이 풍부한 음식을 포함하는 것이 좋습니다.
6.4 물리 요법
기침이 심한 경우 폐 물리 요법이 필요할 수 있습니다. 의료진은 기도를 더 쉽게 열 수 있도록 도와주거나, 가래를 배출하는 데 도움이 되는 호흡 운동을 권장할 수 있습니다.
6.5 산소 치료
심한 호흡곤란이 발생하거나 산소 포화도가 떨어지는 경우에는 산소 치료가 필요할 수 있습니다. 이 치료는 특히 중증 환자나 노인, 면역력이 약한 사람들에게 적용됩니다.
7. 마이코플라즈마 폐렴의 합병증



마이코플라즈마 폐렴은 일반적으로 가벼운 증상으로 시작하지만, 적절히 치료되지 않으면 여러 가지 합병증을 유발할 수 있습니다. 주요 합병증은 다음과 같습니다:
7.1 폐렴 악화
마이코플라즈마 폐렴이 더 심각한 형태의 폐렴으로 발전할 수 있으며, 이 경우 기흉(폐의 공기 누출)이나 폐농양(폐 조직이 죽으면서 고름이 차는 상태) 등의 심각한 합병증이 발생할 수 있습니다.
7.2 중추신경계 합병증
드물지만 마이코플라즈마 폐렴 환자 중 일부는 중추신경계 합병증을 겪을 수 있습니다. 대표적으로 뇌수막염(뇌와 척수를 감싸는 막에 염증이 생기는 상태)이나 뇌염(뇌의 염증)이 발생할 수 있습니다.
7.3 심장 합병증
심근염(심장 근육의 염증)이나 심낭염(심장을 둘러싼 막의 염증)이 발생할 가능성이 있으며, 이는 특히 면역력이 약한 사람에게서 발생할 수 있습니다.
8. 마이코플라즈마 폐렴의 예방법



마이코플라즈마 폐렴은 전염성이 강하기 때문에, 예방이 매우 중요합니다. 다음은 감염을 방지하는 방법들입니다.
8.1 손 씻기
손 씻기는 감염 예방의 가장 기본적인 방법입니다. 손을 자주 씻고, 외출 후나 음식을 먹기 전에는 반드시 비누로 20초 이상 씻어야 합니다.
8.2 마스크 착용
특히 감염자가 있는 경우에는 마스크를 착용하여 비말을 통해 전염되는 것을 방지할 수 있습니다. 감기나 독감과 유사한 증상이 있을 경우 마스크 착용은 필수입니다.
8.3 면역력 강화
면역력을 강화하는 것도 중요한 예방법 중 하나입니다. 균형 잡힌 식사를 하고, 충분한 수면을 취하며, 규칙적인 운동을 통해 면역력을 강화하면 감염 예방에 도움이 됩니다.
8.4 예방접종
현재 마이코플라즈마 폐렴을 예방하는 특별한 백신은 없지만, 다른 형태의 폐렴을 예방하는 폐렴구균 백신은 일정 부분 도움이 될 수 있습니다. 특히 노인이나 만성 질환이 있는 사람들은 폐렴구균 예방접종을 고려하는 것이 좋습니다.
9. 마이코플라즈마 폐렴의 회복 및 관리



폐렴 치료 후 회복하는 데는 시간이 필요하며, 이는 환자의 건강 상태와 폐렴의 심각도에 따라 다릅니다.
9.1 완치 후 관리
폐렴이 완치된 후에도 기침이 몇 주 동안 지속될 수 있으며, 이로 인해 피로가 누적될 수 있습니다. 기침이 계속되거나 호흡곤란이 심해질 경우, 추가적인 진료를 받는 것이 중요합니다.
9.2 재발 방지
한 번 폐렴을 겪은 환자는 면역력이 약해진 상태이므로, 재발하지 않도록 면역력 관리가 필요합니다. 면역력 강화를 위해 비타민 C나 비타민 D 섭취를 늘리고, 규칙적인 운동과 충분한 수면을 취하는 것이 좋습니다.
결론
마이코플라즈마 폐렴은 초기 감기와 유사한 증상으로 인해 쉽게 간과될 수 있으나, 조기에 치료하지 않으면 심각한 합병증을 유발할 수 있는 질환입니다. 적절한 항생제 치료와 충분한 휴식을 통해 회복할 수 있으며, 예방을 위해서는 위생 관리와 면역력 강화가 중요합니다. 이번 포스팅이 마이코플라즈마 폐렴에 대해 이해하고, 이를 예방하는 데 도움이 되었길 바랍니다.
이렇게 해서 마이코플라즈마 폐렴에 대한 포스팅을 완료했습니다. 이 주제를 통해 더 많은 정보를 원하신다면 관련 의학 전문가와 상담하시길 권장합니다.
비만치료제 '위고비' 국내출시: 가격 및 효과
2024년 말, 전 세계적으로 주목받고 있는 **비만치료제 '위고비(Wegovy)'**가 국내에 정식 출시되었습니다. 위고비는 GLP-1 작용제로, 체중 감량에 혁신적인 효과를 보여주며 해외에서는 이미 높은 인
luckyviky.tistory.com
2024 독감(인플루엔자) 무료 예방접종 안내 (지원대상, 접종기관, 지원기관, 의료 위탁기관, Q&A)
매년 독감(인플루엔자) 예방접종은 건강한 겨울을 보내기 위해 중요한 예방 조치입니다. 특히 2024년에는 정부가 더 많은 사람들에게 무료로 예방접종을 지원하고 있어, 이번 기회를 잘 활용하는
luckyviky.tistory.com
갱년기 건강 관리하는 방법
갱년기 건강 지키는 방법 갱년기는 여성의 생리적 변화가 급격하게 일어나는 시기로, 신체적·정신적으로 다양한 변화와 증상을 경험할 수 있습니다. 이 시기에는 건강을 유지하고 갱년기
luckyviky.tistory.com